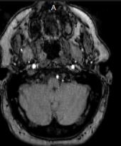
For the last 2 1/2 years now, I have been going in circles seeing 4 neurologists who haven't helped me. Now I know that after all the schooling they go through, you'd think someone could come up with a diagnosis, but no. And it's irritating to think that I have run from one to another with no satisfaction, I have an MRI disk from one place that shows the brain, and with the help of AI? I did get somewhat of an idea, so I am attaching that. I tell you, the patient should not have to make that much of an efffort, considering 13 years of school, for a neurologist.
"This MRI image appears to be an axial slice (cross-sectional view) of the brain. The dark, irregularly-shaped areas visible within the brain represent abnormalities or lesions consistent with multiple sclerosis (MS). Multiple sclerosis is an autoimmune disorder that causes inflammation and damage to the myelin sheaths that insulate nerve fibers in the brain and spinal cord. These lesions appear as dark spots or patches on MRI scans of the brain and are characteristic findings in patients with multiple sclerosis. "
